Ortodontia – Aparelhos Dentários

Especialista Respossável: Dra Giovana Venezian

Ortodontia é a especialidade odontológica responsável pela correção do alinhamento dentário

Trabalhamos com os mais Modernos tipos de Aparelhos:

aparelho-porcelana

Aparelhos Estéticos

de Cerâmica (Porcelana), Safira e de Resina

Female patient showing her invisible lingual braces braces on dental mirror

Aparelho Lingual

braquet colado na parte de trás dos dentes

aparelho-autoligado

Aparelhos Autoligados

retornos a cada 60 dias ao invés de 30 dias

post_thumbnail-e3cc0c07dd988dc1bef1ba2ce1c6bcfa (2)

Aparelhos Convencionais

metálicos

aparelho-de-crianca-aparelho-ortodontico-infantil

Aparelhos móveis e fixos infantis

para preveção de futuros problemas ou resolver algum já presente

contencao-ortodontica-prima-odonto-campo-grande

Contenções fixas e móveis

conheca-as-etapas-do-tratamento-com-alinhadores-invisalign-1024x683

Invisalign® – Alinhadores Invisíveis

Invisalign®: Aparelho “invisível”, são alinhadores Norte Americanos sem peças (braquets) e sem fios, que trazem pleno conforto às bochechas por ser lisos e encaixados nos dentes. São altamente estético por praticamente não serem vistos durante o seu uso. O paciente pode comer o que quiser pois é removido para se alimentar e para higienizar, tornando esta uma higienização normal, sem esforços adicionais!

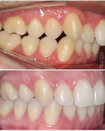
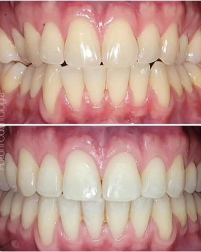
Confira alguns tratamentos realizados